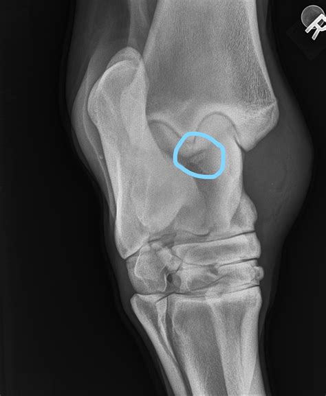
Why Osteochondritis Dessicans Is Affecting Young Athletes More Now
Explore the Y Not Festival 2026 line-up featuring The Libertines, The Reytons, Two Door Cinema Club, The Streets and more. Explore your Y Not Festival 2026 accommodation options, from camping and glamping to live-in vehicles and more.
January: Osteochondritis dessicans (OCDS) - Swiftsure Equine
