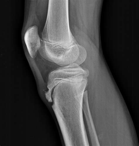
Why Can You Get Osgood Schlatters As An Adult Even If Healthy
Nov 21, 2019 · Balloons make me dizzy, but deep breathing can fill my brain with oxygen, and reducing sleepiness can make me more alert.Balloons make me dizzy, but deep breathing can fill my brain.
Osgood-Schlatter disease | The Third Eye - Radiology site
