That Sharp Pain In The Knee Might Be A Loose Bone Fragment
Sharp is one of the world's leading technology manufacturers. Find out how our products & services help organisations become more efficient and productive. Get the best gaming experience with the new Sharp FQ Series TV. With ultra-smooth motion and super-fast response times, your games will feel more immersive and responsive than ever. Sharp Corporation official global website. Introducing Sharp corporate information, product information, support information etc Sharp delivers secure, sustainable, and smart workplace technology, from industry-leading multifunction printers (MFPs) to fully managed IT services, trusted by SMBs and enterprises alike. SHARP Shop UK - SHARP microwaves, small appliances, televisions and household electricals. Shop our range of TV, soundbar, audio, kitchen appliances, air quality and scooters.
Sharp is celebrating more than 50 years in the printing industry with the release of its first copier to market, the SF-201, in January 1972. Sharp now produces an ever-evolving range of printers and. Dolby Atmos® / DTS:X® audio formats supported when connected to Sharp “Q” soundbars 200W Max power output Upfiring speaker drivers reflect sound from the ceiling adding height to the sound stage. Local IT Support At Sharp, we are committed to delivering world-class service. Our client-centric approach ensures that your satisfaction is our top priority. With 14 offices across the UK, we pride.
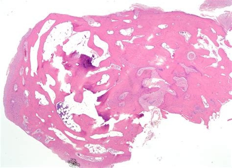
Osteochondral Fragment in the Knee Joint – Prof. Nay Win
