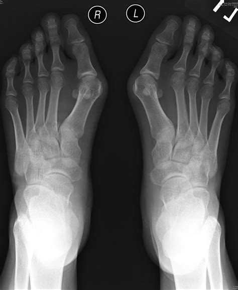
Podiatrists Describe The Different Stages Of Hallux Valgus
We connect you with HCPC registered podiatrists near you and provide expert advice on common foot problems, sports injuries, and nail and skin conditions. Whether you’re in London, Manchester,. At The Foot Company, we are a team of HCPC registered podiatrists, taking your foot health to the forefront of importance. As podiatrists, we have all undertaken a B.S.c. Podiatry degree at University. Village Podiatrists is located in the centre of beautiful Wombourne village in a court yard off Church Road. We are open full time with a late night on Thursdays and have allocated parking for our. Product Description Village Podiatrists is located in the centre of beautiful Wombourne village in a court yard off Church Road. We are open full time with a late night on Thursdays and have allocated. As qualified Podiatrists we are foot experts in the medical care of your feet, assessing, diagnosing and treating foot and lower limb problems. Our range of services include nail care, corn, hard skin/callus.
Hallux Valgus
