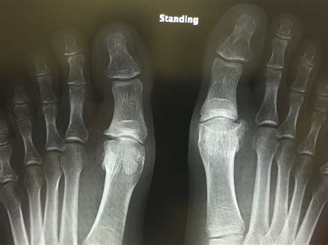
Patients Are Discussing Hallux Rigidus Surgery Options In New Support Groups
Mar 1, 2018 · Some patients have poor veins, requiring an injection at the elbow. Additionally, the venous access should be on a different hand from the one used for measuring blood pressure, so. Nov 3, 2017 · First, performing surgery requires various types of monitoring. Electrocardiogram (ECG) - the chest needs to be fully exposed, non-invasive blood pressure - the upper arm needs to be fully.
Minimally Invasive Hallux Rigidus Osteotomy | David Redfern Surgery
