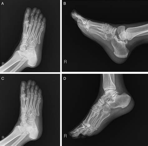
Infrared Scans Will Monitor Talus Fracture Bruising Better
An infrared sauna is a type of sauna that uses light to make heat. This type of sauna is sometimes called a far-infrared sauna. "Far" describes where the infrared waves fall on the light spectrum. A regular. Apr 7, 2020 · A digital ear thermometer uses an infrared ray to measure the temperature inside the ear canal. Turn on the digital thermometer. Gently place it in your ear canal no further than indicated by. Jan 21, 2026 · These thermometers use an infrared scanner to measure the temperature of the temporal artery in the forehead. You can use this type of thermometer even while a child is asleep. Mar 8, 2024 · This test uses a dye that lights up when exposed to infrared light. The resulting images show retinal blood vessels and the deeper, harder-to-see blood vessels behind the retina in a tissue.
Talus Fracture | Dr Bijan 4 Feet
