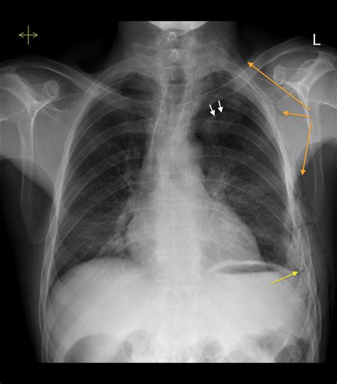
How A Displaced Rib Often Mimics Much More Serious Heart Issues
Jun 13, 2024 · Are the following two sentences grammatically correct? (1) The shopping carts have currently been placed together. (2) Some Japanese people are currently displaced by the. Sep 8, 2010 · Internally displaced person In the humanitarian branch : Those are refugees, who were displaced from their home and are considered to be refugees inside of their own country, because of. Sep 14, 2023 · For me, grocery store has not been entirely displaced by supermarket in New England and New York City. A grocery store and a supermarket sell a similar variety of meat, fish, vegetables,. Dec 7, 2018 · It means if the Creek tribe of Indians hadn't been displaced, then the river would not have been open for exploration by him. It was part of the Creek's territory before.
Rib fractures
