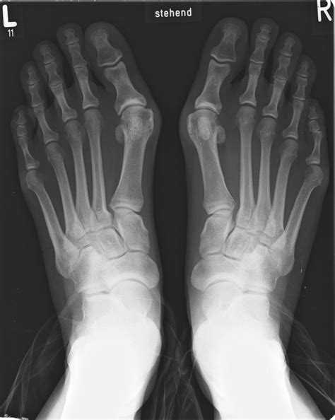
Doctors Explain What To Look For In A Hammer Toe Xray
All episodes of Doctors A Celebration A factual documentary celebrating 24 years of the popular daytime soap opera. Jul 14, 2025 · Resident doctors are qualified doctors who have completed a medical degree. They make up nearly half of all doctors in England, and work across the NHS including in A&E and GP surgeries.. Stay informed with the latest news, video, live updates and expert analysis about Doctors from across the BBC. Nov 14, 2024 · As medical TV drama Doctors says farewell with its final episode later, a 9,000-signature petition to try to save it shows just how much it resonated with audiences. The soap, which is set in. Doctors profiles: Past Characters Former favourites from the show who have since left.
Hammer Toes Xray CALCANEAL Spur Or Lenoir Spur Or Calcaneal Exostosis
