Athletes Are Vocal About Pre Patella Bursitis Treatments And Long Waits

Athletes Are Vocal About Pre Patella Bursitis Treatments And Long Waits

Trochanteric Bursitis: Symptoms, Causes Treatments, 40% OFF

Full list of Olympic athletes, including Simone Biles, Naomi Osaka and Michael Phelps. Follow your favourite Olympic heroes on their journey to the games. Jul 15, 2025 · The sports world thrills with its galore of talented athletes who continually dominate headlines. This list of the most famous athletes in the world right now blends together a medley of. The full list of Team GB athletes to have competed at the Olympics. Read in full. Athletes | Final Entries | World Athletics Championships Tokyo 25 May 12, 2024 · Here are the top 30 greatest celebrated British Athletes of All Time: 1. Chris Hoy-racing driver Hoy at the Homecoming Parade in Glasgow in 2012 on Wikipedia Sir Christopher Andrew Hoy.

Sep 18, 2023 · The Most Famous Athletes in the World 20. Kylian Mbappe (Soccer) Source: Wikimedia Commons When the young French soccer player participated in the 2018 Russian World Cup,. Jan 7, 2025 · Wayne Rooney, among other huge names, miss out on a place in the top 10 UK athletes of the 21st century. Jul 19, 2024 · ESPN UK take a look at British sport since 2000, ranking the 25 greatest athletes to have blessed these shores since the turn of the century.

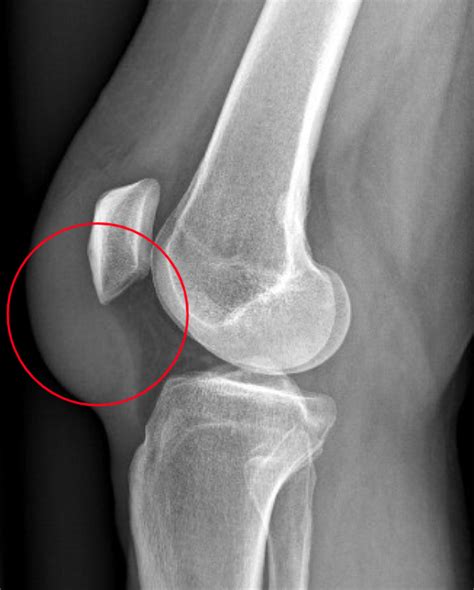
Pre Patellar Bursitis - Patella Conditions - Knee - Conditions

Pre Patellar Bursitis - Patella Conditions - Knee - Conditions ...

Prepatellar Bursitis Treatment | OrthoMA

Prepatellar Bursitis Treatment | OrthoMA

Read also: Train From Orlando To Charleston Sc

close